Medical checkup
健康診断
健康管理に欠かせない定期的な健康診断

慢性疾患の早期発見には健康診断は欠かせません。
飼い主さまが普通だと思っていることや年のせいにしていることが、もしかしたら疾患の兆候であることがあります。
神奈川県では40歳以上になると毎年健康診断のお知らせが届きます。動物は6.5歳が人の40歳にあたります。
健康に自信があるワンちゃんネコちゃんは、5歳までに1回、7歳以降は毎年健康診断でオプション検査をお勧めします。
定期的な健康診断で、見つけにくい病気を早期に発見
人間の何倍ものスピードで歳をとっていく動物たち。いつまでも元気でいて欲しい…
そのためには健康維持と病気の早期発見が大切です。病気の早期発見には定期的なペットドック(健康診断)がおすすめです。
健康診断でのお願い
- ペットドックは予約制となります。事前にお問合せをお願いします。
- 健康診断時には人間と同じく12時間前からの絶食をお願いします。検査当日は朝ごはんを抜いてきてください。
- 項目によっては再検査を行う場合がございます。
健康診断の最重要ポイント「問診・身体検査」
定期的に診察を受けることでこの健康診断に最も大切なこの二つのポイントを押さえる事ができます!
フィラリアのお薬をもらいに行く時、ワクチン接種の時など私は常に心掛けて動物を観察・診察しています。
問診
元気や食欲、尿や便の様子、ふだんの生活について色々なことをお尋ねします。
飼い主様がふつうと思っていることが病気の初期症状であったり、疾患の早期発見につながることもあります。
身体検査
頭のてっぺんからつま先まで細かく診察します。
視診、聴診、触診、においなど五感を駆使して詳しく診察します。
大切な検査
基本的な検査は「血液検査・尿検査・レントゲン検査・超音波検査」となります。
以上の検査で異常が認められた場合、超音波検査などの追加検査を行います。
血液生化学検査
まだ症状に現れない異常や慢性疾患などを早期に発見するために行います。人と同じように毎年の検診が大事です。
一般的な内臓の検査
- 血糖値
- コレステロール・中性脂肪値など代謝に関係する項目
- 腎臓に関する項目(オプション・SDMA)
- 膵臓に関する項目
- 肝臓に関する項目
- ホルモン検査(オプション・コルチゾール・T4)
- 電解質(イオン)バランス
これらを調べることで、内臓の疾患がわかったり、ふだんの食餌などを適切なものを選んでいくことができます。
また、腎臓病の早期発見につながる項目や、身体検査でホルモン異常の疾患が疑われる場合は特殊検査をお勧めすることもあります。
9歳以上ではシニアプランでの血液検査を含む健診をおすすめしています。
血球計算(赤血球数・白血球数・血小板数・白血球分画など)
赤血球数・白血球数・白血球分画・血小板数を測定します。
貧血や感染症の有無、血液のガンなどがわかります。
尿検査
一般的な内臓の検査
- 目に見えない血尿
- 結晶
- 細菌
- タンパク質
- 尿糖など
当院では自宅で採尿してご持参いただくことで検査が可能です。
その場合は、未使用の紙皿やラップ、ペットシーツの裏側などで尿を受けていただき、スポイトまたは清潔な容器にいれ、密封してお持ちください。地面にした尿や猫砂で固まった尿では検査ができません。また、いつしたかわからない尿での検査はできません。
もし、採尿した時間から病院に持っていくまでの時間が空いてしまう場合は、冷蔵保存で3時間以内(最大6時間)にお持ち下さい。
自宅での採尿が難しい場合は、病院で採尿致しますので、ご相談下さい。
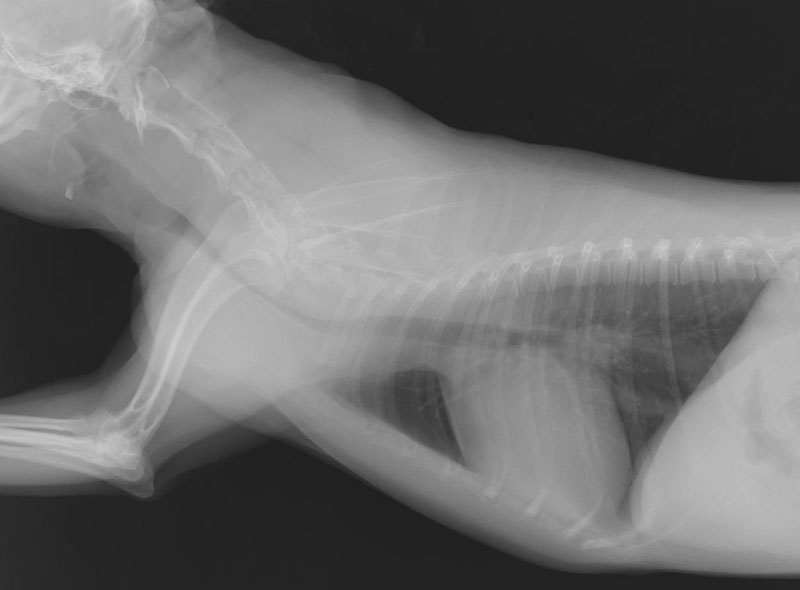
レントゲン検査
通常見ることのできない内臓の大きさや形、配置の変化を調べます。
心臓病、肺や気管・気管支の状態、腹腔内諸臓器の大きさや形の変化、腫瘍や結石の有無などがわかります。
超音波検査
レントゲン検査や血液検査、触診で異常がある場合には追加検査としてお勧めしています。
動的な状態で検査できること、臓器の内部構造がわかることなどの利点があります。
動かないように押さえて、少し時間をかけて検査しますので、場合によっては後日予約制で検査を行います。
健診キャンペーン

犬は3月〜6月、猫は11月〜2月(おすすめ時期)に行っています。
ワンちゃんはフィラリア検査とセットで料金がお得になります!
そしてさらに、尿検査チケットプレゼント!
お口の健診・おそうじと一緒に、併せてご利用ください!
犬猫の高齢化とシニアケアの重要性

ワンちゃんの平均寿命は14歳、猫ちゃんの平均寿命は14.2歳(2019年アニコム白書より)と言われています。
その半分の、約6~7歳ごろから、行動が落ち着いてきたり、動きが若い時より鈍くなったり、寝る時間が長くなったりしてきます。
老化が始まる時期と平均寿命を考えると、シニアケアの重要性が浮かび上がります。
簡単な健康チェックをしてみましょう
- 元気や食欲はありますか?
- 食事の量が変わらないのに痩せたり、太ったりしていませんか?
- おしっこの色や量はどうですか?
- お散歩は普段通り歩きますか? 歩き方や動きなどに変化はありませんか?
- ウンチの色やかたさはどうですか?
- 段差や高いところを躊躇せずに登れますか?
- 排便や排尿に時間がかかったりしていませんか?

当てはまる項目は何個くらいありましたでしょうか?
その兆候、歳のせいにしていませんか?
歳のせいでなってしまうこともありますが、歳とともに病気も増えてきます。
それが知らず知らずのうちに進んで、症状が出た時には手遅れであることもあります。
生きている間、大事な家族に少しでも、病気の痛みや苦しさから解放されていて欲しいものです。
疾患の早期発見・早期治療は、人もペットも元気に過ごせる時間を格段に長くします。だから健康診断は大事なのです。若い頃から、予防や健診、食べ物に気を使い、運動や遊びをたくさんすることで、元気に長生きする事ができるのです。
疾患一覧
口腔内疾患
症状:口臭、歯石、歯垢など
治療:歯磨き、歯科処置
循環器の疾患
僧帽弁閉鎖不全症

犬・中年齢以上・小型犬で見られます。はじめは無症状ですが、進行するにつれ、動悸・息切れから、胸に水が出てきて、呼吸困難になり非常に苦しくなります。
定期検診で、雑音が聴取された場合は、無症状のうちに、検査および必要に応じた早期治療を開始してあげると元気に長生きできます。
症状
疲れやすくなった お散歩の距離が短くなった 咳が出る 呼吸が早い
診察
心雑音
検査
胸部レントゲン検査、超音波検査、血液検査(特殊項目)
治療
病期ステージに応じた投薬と経過検診
肥大型心筋症・動脈血栓塞栓症

猫・中年齢以降で見られ、心臓の壁が分厚くなってしまう病気です。この病気は、だいぶ進んで、突然、後肢を引きずり、ギャアギャア泣き喚くなどの症状を呈して初めて気づくこともあります。こういった症状を呈する前に検診でそのリスクを発見することもできます。
若い年齢から検診で心雑音を発見することがあり、のちのち心臓病に繋がることもしばしばあります。
また、高齢になるとしばしば見られる甲状腺機能亢進症に合併することもあります。
フィラリア症
予防できる病気です。蚊からうつされたフィラリアという線虫が、最終的には心臓の血管につまって、非常に苦しみます。しっかり予防できましょう。

高血圧
正常血圧は人と同じく、正常値は上が120程度になります。これが高血圧になると色々な臓器に影響を及ぼします。
例えば、動物では、腎機能障害や眼内出血などがあります。
血圧も健診時に測定しておくことが大事です。
肺高血圧症
難しい病気になりますが、僧帽弁閉鎖不全症や呼吸器疾患に合併したり、特発性に起こることがあります。症状は咳やチアノーゼなどが見られます。診断は、超音波検査により基礎疾患とともに精査します。
呼吸器の疾患
★受診のポイント★
呼吸器は、鼻、のど、気管、気管支→肺までの器官を指します。
よく見られる症状は、いわゆる『かぜ』の症状になりますが、咳などはわかりづらいので、スマホで動画などを撮影してもらえると診断の一助になります。
また、いつから始まったのかなどの情報も大事です。

鼻水・鼻血
右、左、両側からなのか
どんな感じのものが出ているのか
咳?くしゃみ?嘔吐?
コホコホという乾いた咳? ゲホゲホ、ゲーゲーと言った湿った咳?
どんなタイミングで咳き込むことが多いですか?
咳をすることで、活動性は落ちますか?
呼吸の仕方、呼吸の数
早い、大きい、肩で息をしている、呼吸するときに音が聞こえる(息を吸うとき?吐くとき?)など
★スマホで動画を撮影する際は、顔、胸の動きがわかるように撮影するのがポイントです。
鼻炎・鼻出血
くしゃみ鼻水が出ます。鼻水には透明な鼻水と、白や黄色の色のついた粘稠性の高いものがあります。漿液性の鼻水は、犬の場合には緊張やアレルギー性があり、色のついた鼻水の場合は、感染性や鼻の奥の異物などが原因として挙げられます。歯周病が原因で鼻水が出ることもあります。
鼻血は、鼻炎がひどくなって出る場合や、鼻の奥の腫瘍、血液凝固障害などにより出ます。
量が多く止まらない場合には早急に受診してください。
短頭種気道症候群

鼻ぺちゃわんこを総称して短頭種と呼ばれます。短頭種は、その漢字のごとく頭が短い、すなわち鼻や顎を形成している骨が横に広がった特徴的な頭部の骨の形をしています。
これらのワンちゃんには、外鼻孔狭窄(鼻の穴が狭い)、軟口蓋過長(喉の奥の粘膜が長く気道をの障害物となる)、気管形成不全(体の大きさに比して、気管が細かったり、気管軟骨が薄く潰れやすい)があります。
少し息遣いが荒くなると、その音とともに呼吸困難気味になります。チアノーゼを起こすほど重度の場合には、外科的対処が必要です。
夏場の熱中症対策はしっかりしましょう。また飛行機に乗せる場合にはこの辺りの確認を獣医師にしてもらいます。
気管虚脱、気管・気管支軟化症

この『虚脱』は、気管が異常に潰れやすい状態を指します。ポメラニアンやヨーキーなどの小型犬に多く、その病態により3つの気管虚脱に分けられます。
症状は、興奮時の咳やゼーゼー、ガーガーという音を伴う呼吸音が聞かれます。
もともと、気管が扁平に潰れ、チアノーゼを呈するほどの気管虚脱では、気管を広げる手術、上部気道の閉塞による気管虚脱や、慢性気管支炎に伴うものは気管・気管支軟化症と呼ばれ、咳をコントロールする内科治療が必要となります。
犬伝染性気管気管支炎(ケンネルコフ)
急性で伝染力の強い感染症です。発作性の咳を特徴とし、犬のパラインフルエンザウイルスと気管支敗血症菌が主要な原因とされます。ペットショップから来て日数の浅い子犬などに見られることが多いですが、高齢動物では不顕性感染することが多いです。ワクチンで予防することができます。
犬の慢性気管支炎
2ヶ月以上の痰の絡んだしつこい咳が続く病態を言います。さらに長期に渡り続くと、慢性閉塞性肺疾患(COPD)や気管支拡張症の状態になることがあります。
ヒト同様、大気汚染や受動喫煙、過敏性肺疾患などの原因が挙げられます。中年齢以上の小型犬種、肥満犬に多いとされます。
猫の気管支疾患/喘息
発作性の咳、運動後の喘鳴(ゼーゼー)、努力呼吸、運動不耐性などが2ヶ月以上にわたって見られます。いわゆる猫ぜんそくの原因は、抗原吸入による1型アレルギーが原因とされます。
レントゲン検査及び病歴から疑診します。
肺炎
一般的に肺炎では、咳は出ず、呼吸数が増加、努力性の呼吸を呈します。また、発熱や食欲低下などが見られます。急性憎悪では、命に関わることも多いため積極的な治療が必要です。
肺炎にはいろいろな種類があり、その原因を確定診断するためには、気管支内視鏡検査や気管支洗浄液検査などの特殊な検査が必要となる場合があります。
いずれにしても、呼吸がおかしいと思ったら、速やかにご受診ください。
誤嚥性肺炎
食べ物や飲み物、その他分泌物などが気道内に入り、急性の肺損傷を起こすことを誤嚥性肺炎と言います。
健常な動物では、のどに異物が入った段階で、咳反射などにより吐き出しますが、喉頭、食道疾患、麻酔や嘔吐、神経疾患などにより気道に誤入することで肺炎を来します。
肺炎と同様の症状が起こります。
膿胸

胸の中に膿がたまる病気です。一番多い原因は、ケンカによる咬傷で猫でしばしば見られます。
膿の量が増えるに従い、呼吸が早くなり、元気食欲がなくなります。
死亡率も高いため、緊急かつ積極的な治療が必要です。
腎臓・泌尿器の疾患
慢性腎不全・慢性腎障害

老化や尿石症、腎臓の感染症など様々な原因により腎臓の機能が低下します。
腎臓の機能障害により体内の老廃物の排泄がうまくいかず、水分・電解質バランスの調節に異常が生じます。
まず一番初めに現れる症状は多飲多尿です。お水を飲む量が段々に増えて、尿が薄くなります。排尿の回数が増えたりします。進行すると体重が減ったり食欲が低下します。また、他の原因で体調が悪くなったときに脱水を生じやすくなるので、その時に見つかる場合もあります。
尿検査と血液検査で早期発見が可能です。
腎機能の悪化には蛋白尿や血圧が重要であるため、そういった悪化要因がないか調べます。
機能を失った腎臓を元に戻すことはできないため、病期ステージに応じた治療を行います。
歯周病に関連した腎機能障害は発生が多いと報告されています。腎機能障害を防ぐためにも若齢時からの歯周病予防が大事です。
尿路結石・膀胱炎

血尿や頻尿感、残尿感(尿が出きっているのに何度も排尿姿勢をとる)などの症状が見られます。
膀胱炎の原因には、大きく分けて、細菌性、尿石性、特発性(猫)があります。細菌性は、尿道口からの上行感染がほとんどであるため、マナーオムツを装着している時間が長い子、陰部が汚れやすい女の子はリスク因子となります。
きれいにするように心がけることが予防になります。
尿石症は食餌および体質によるものとされています。
尿結石については、食事療法で予防ができますので、生後6ヶ月過ぎたら、定期的な尿検査をすることをお勧めします。
猫の特発性膀胱炎の原因はよくわかっていませんが、膀胱粘膜の状態やストレスなどが関与していると言われています。
消化器の疾患
誤食・誤嚥

若い頃に多いです。夜間救急のベスト3に入ります。
おもちゃや紐、ゴム製品などは間違って飲み込んでしまうと腸閉塞を起こす可能性が高いので、気付いたらなるべく早く動物病院に相談しましょう。自宅で吐かせることは危険を伴うこともあるため厳禁です。
お薬や中毒性のある食べ物、植物も同様、摂取してすぐなら吐かせることが最善です。時間が経過してしまった場合、臓器障害が出ることがありますので、必ず動物病院に相談しましょう。
閉塞を起こすものなのか、中毒を起こすものなのか判断がつかない場合は、お問合せください。
中毒物質
ネギ、タマネギを含んだもの、レーズン、ユリ、ホウ酸団子など。
よく聞かれる中毒を起こす食べ物の中毒量
- チョコレートの中毒量:ミルクチョコレートで体重1kgあたり10g以上
- 玉ねぎの中毒量:犬 体重1kgあたり10g以上、猫 体重1kgあたり5g以上
- キシリトール:体重1kgあたり1gでも
嘔吐
おう吐とは、胃の内容物が、腹部の筋肉の収縮とともに、吐き出されることを言います。
『吐いた』と言われるものに
- 本当の嘔吐
- 実は、食道内の貯留物が逆流して戻る吐出→腹部の緊張を伴いません
- 咳き込んだ後に吐いた→嘔吐の原因は消化管ではなく、咳刺激によるもの、または痰の排出
- 薬を飲ませたら・・・嘔吐した。または、口の中に残っていたものを吐き出した
など、わかりにくい『吐いた』があります。
診察時には、いつからか、どのような状況で、何回くらい、何を、どんな様子で、吐いたのか、詳細をお伝えください。
下痢
舌炎
舌がただれます。
特に猫では、カリシウイルス感染症により、舌のトゲトゲが部分的になくなり、赤く炎症を起こし、痛みのためにヨダレや食欲不振が見られます。
また、歯垢歯石が、舌に接触して炎症を起こすことがあります。
胃炎・胃潰瘍
嘔吐や、吐き気、よだれ、食欲不振などが見られます。
嘔吐の場合、どのタイミングで、どんなものを吐いたのかを観察していただき、診察の時に教えて下さい。
急性大腸炎
いつも食べないものを食べたり、ゴミあさり、ストレスなどにより、急に発症します。
通常は、頻回に排便姿勢を取り、場合によっては、ゼリーのような粘膜が混じった軟便や、水っぽい便が出ます。この場合は、もし、動物の元気食欲が正常であれば、絶食で一両日様子を見ることで治ってしまう場合があります。
慢性の下痢
1ヶ月以上続く慢性の下痢を呈する場合は、慢性腸症と呼ばれ、血液検査やレントゲン、超音波検査、食事療法や試験的治療を行いながら、診断を進めていきます。内科的治療(投薬や食事療法)により改善を見ない場合には、針生検や内視鏡検査、開腹手術による生検などにより、病理診断することもあります。
疾患の名前としては、慢性炎症性腸症の中に、食物反応性腸症(低アレルゲン食・低脂肪食)、抗生剤反応性腸症(腸内細菌叢改善)、免疫抑制剤反応性腸症、腸リンパ管拡張症、Low Gradeリンパ腫、腺癌などの腫瘍が挙げられます。
巨大食道症
主に犬に見られる病気です。
本来、食べ物が通過するだけの食道内に、食物が停滞し、腹部を動かす動作なしに、吐き戻しをしてしまう症状が見られます。子犬に見られる先天性のものと、高齢になってから基礎疾患が原因で起こる場合、原因不明の特発性に分けられます。
巨大結腸症
主に猫に見られる病気です。いわゆる便秘症が重症化したもので、便が長いと1週間近く出なくなり、排便しようといきむため、吐き気や嘔吐も見られることがあります。通常は、毎食キチンと食べている猫ちゃんであれば、少なくとも2、3日に1回、食べた量に見合った量の便を排泄します。
猫は腹筋が少ない、体重過多、脱水(特に腎障害)、運動不足などの要因により、便秘になりがちになり、結腸内にどんどん大量の便が溜まってしまうと、結腸が拡張し、そのうち、排便の神経麻痺が起こるため重度の便秘症となります。
治療には、摘便、食事療法、便をやわらかくするお薬などを投薬します。
その他の病気
組織球性潰瘍性大腸炎:4歳以下のボクサーとフレンチブルドックに特徴的
炎症性結直腸ポリープ:中高齢のミニチュア・ダックスで、血液付着便が見られる
腸重積機能性イレウス:正常な犬の小腸内容物の通過時間は平均3〜5時間です。
小腸は、1分間に1〜3回ほど、ぜん動運動することで、食べ物を後方へ送り出します。この動きが、炎症やストレス、疾患により停止してしまうことを言います。
肝臓・脾臓・膵臓の病気
肝障害
血液検査で、肝臓に関わる数値の上昇が見られたり、レントゲン検査での肝臓の腫大、重症の場合や急性の場合には、食欲不振、嘔吐、下痢などの症状が見られ、血液や画像検査の結果診断されます。
胆汁うっ滞・胆嚢炎・胆嚢粘液嚢腫

胆管の中を流れる胆汁は正常では、サラサラしていますが、高脂血症や加齢によりドロドロになり、それが胆管壁を傷つけたり、流れが悪くなり、症状が出ると体が黄色くなる『黄疸』や食欲不振、嘔吐などの症状が見られます。
健康診断で早期発見ができます。
肝臓腫瘍
肝臓にできる腫瘍は、皮膚や内臓諸臓器からの転移性のものと、肝臓原発のものがあります。非常に大きくなるまで、症状を現さないこともあります。健康診断で偶発的に肝臓腫瘍が発見されることがあります。
脾臓の病気
脾臓は、リンパ系の組織で、リンパ球の分化を促す働きをします。また赤血球の墓場であり、寿命を終えた赤血球が処理されるところでもあります。脾臓の病気は、腫瘍の発生が多いです。脾臓は、生きていく上での生命中枢を担わないため、そこにできた腫瘍はある程度大きくならないと症状を表しません。また、血管肉腫と呼ばれる脾臓に好発する腫瘍は、小さくても破裂し、致死的になることがあります。
膵炎
膵臓とは、胃の下部にあり、タンパク質や脂肪を分解する消化酵素を産生する臓器です。膵臓内で作られた消化液は、膵臓内から直接十二指腸へと分泌されます。膵臓が炎症を起こすとこの消化酵素が、膵臓の周囲に重度の炎症を起こします。急性では、一刻も早い診断と治療が必要な病気です。
嘔吐や食欲廃絶、腹痛が見られます。
膵外分泌不全(EP I)
高齢犬で慢性膵炎に起因した膵臓実質の消失が原因で起こることがあります。膵臓からの消化酵素が作られないため、食欲は亢進しているが、痩せてくる、便の量が多い、慢性小腸性下痢を呈することがあります。また、未消化な脂肪便を排出することもあります。高消化性低脂肪、低繊維な食事や消化酵素の投与や腸内細菌のバランスを考えた内科療法を行います。
皮膚の疾患
皮膚病は見た目で気づきやすい病気です。
いつからその病変があるのか、変化はあるのか、かゆみがあるのかなどが大事なポイントです。
膿皮症
皮膚にぶつぶつやかさぶた、ニキビのような湿疹ができて、基本的には痒みがあります。
皮膚の常在菌であるブドウ球菌が原因で皮膚炎を起こしますので、抗菌作用のあるシャンプーや抗生物質で治療します。他の動物や人に感染することはありません。
アトピーアレルギー性皮膚炎
犬や猫の花粉症は、人の眼・鼻症状はあまりなく、痒みや紅斑などの皮膚症状が出ます。
その他アレルギー物質には、ハウスダストダニや食べ物、ノミやゴキブリなどの昆虫類、カビ、スギなどの花粉など様々なものがあります。
疑わしい場合には、アレルギー特異的IgE検査などの血液検査を行い調べます。
外耳炎

耳が臭う、耳垢が多く出る、耳をよくかいている、頭をよく振るなどの症状が見られます。
よく人間用の綿棒でお掃除しているのに・・・ということを伺いますが、犬の耳道の皮膚は非常に薄いため、人間用綿棒でゴシゴシきれいにしようとすると、それが耳の中を傷つけてしまい、外耳炎の原因となることもあります。また、犬の耳道は途中で曲がっているため、入り口だけきれいにしても無意味なのです。
正しい耳そうじをすることが大事です。
耳血腫
耳たぶがぷくっと膨らみます。
耳の痒みが原因で、後ろ足でバタバタと掻くことにより、耳介の毛細血管が切れて血液がたまることでなります。
全身性の薄毛・脱毛
年とともに、毛が薄くなってきたり、尾っぽだけ毛がなくなってきたりする場合は、性ホルモン異常や甲状腺、副腎疾患などが疑われます。
本人は、かゆくもなんともないですが、ホルモン性疾患による内臓へのダメージは大きいことがあります。きちんと診断を受けましょう。
-

治療開始前の様子
-

治療開始3か月後の様子
指間皮膚炎・指間膿瘍

指の間が赤く炎症を起こします。これがひどくなると、腫れを伴い、さらに悪化すると排膿したり、痛くて足をつく事さえ嫌がります。
犬は、ひままかせ、気持ちを落ち着かせるために指の間を舐めることがよくあります。
なめすぎてしまうと、皮膚炎を引き起こしたり、悪化させてしまうことがあるため、あまりにしつこく舐めている時は、気を逸らせたり、治療中はエリザベスカラーを装着して舐めさせない工夫が必要です。
膿瘍

ケンカ傷などから細菌が入り込み、ウミだまりができてしまったものです。
肛門のそばにできたものは、肛門のう膿瘍と呼ばれます。進行するにつれて、大きくなったり、表面の皮膚の色が変色し、破裂・出血することがあります。動物は、痛みのため患部を触られることを嫌がります。
皮膚腫瘍
皮膚には、いろいろなできものができます。
この“できもの・しこり”は、非腫瘍性、良性腫瘍、悪性腫瘍に大きく分けられます。
炎症を伴わなければ、痛くもかゆくもないため、本人は気にしません。
発見したときは、いつからあるのか、その大きさに変化はあるのかを観察した上で、診察を受けましょう。
寄生虫性皮膚炎
ノミアレルギー:
ノミの寄生とともにかゆみを伴うぶつぶつが背中に見られます。
疥癬(カイセン):
犬カイセンは、犬穿孔ヒゼンダニが原因で、耳介、肘、かかとに角質の増生、非常に強い痒みが見られます。
猫カイセンは、猫小穿孔ヒゼンダニが原因で、耳介、頭部、顔面にかさぶたの集結が見られ、非常に強い痒みが見られます。犬・猫のカイセンは双方に感染することはありません。
ニキビダニ(犬毛胞虫):
ニキビのようなぶつぶつができます。子犬や免疫力が低下したときに見られることがあります。
耳ダニ症:
耳ヒゼンダニの感染によります。ダニは耳の中に寄生して、耳垢や角質などを栄養分として増殖します。黒い特徴的な耳垢が大量に見られ、非常に痒がります。
耳ダニ症動画
眼の疾患
角膜損傷・角膜炎
ゴミが入っているような痛みから目が開きづらくなり、涙や目脂が多く出ます。
動物が自分で擦ってしまうとさらに悪化することもあります。ドライヤーの風などでも簡単に傷つきます。
目が開きづらいなどの症状がある場合には、いじらせないようにして、なるべく早めにご受診ください。
ドライアイ

涙の量が減ってしまうため、灰色〜緑色のネバネバした目やにがこびりつきます。
白内障と核硬化症

白内障は目が白く濁って見えます。
発症年齢や進行のスピードにより、治療法が変わります。お早めにご相談ください。
核硬化症とは、白内障とは異なり、老化現象ですが、初期の白内障と同じに見えることがあります。
視力には影響しないため、様子を見ます。
結膜炎
結膜が充血してドロッとした目やにが出ます。また目が開きにくくなります。
猫の結膜炎は、子猫に多くみられ、多くはウイルスや細菌が原因です。
赤ちゃんの頃に感染して重症化すると、結膜同士または結膜と角膜がくっついて、目の見た目が変になります。
早めにしっかり治してあげましょう。
ぶどう膜炎
ぶどう膜とは、虹彩、毛様体、脈絡膜を総称した呼び名です。これらは眼球内部の構造で、ここに炎症が起きた状態をぶどう膜炎といいます。
症状は、涙目、結膜充血、羞明など眼の痛みに関する症状、眼のにごりや前房出血などが検出されます。
白内障では、ぶどう膜炎の併発を起こすことがあります。
ぶどう膜炎の原因は、たくさんあり眼のみの問題ではなく、全身性疾患から波及して生じることもあるため、注意が必要です。
緑内障
眼球はその内部が、常に眼房水の循環によって形が保たれています。この眼房水の流れが停止してしまうと、眼圧が上昇し緑内障となります。
急性の緑内障は柴犬に多くみられ、失明してしまうこともあります。痛みを伴うため、元気がなく目をしばしばしている柴犬さんは、なるべく早めに受診してください。
失明
網膜の変性や白内障で視力を失ってしまうことがあります。片目の場合には、普段通りの生活はできてしまうため、気づかれないことがあります。
両目を失明してしまった場合には、障害物にぶつかる、物を避けられないため性格が変化することがあります。失明してしまった場合には視覚を取り戻すことはできません。
見えない生活をサポートしてあげましょう。ご相談ください。
目の腫瘍

眼にもさまざまな腫瘍ができます。見つけたら早めに受診しましょう。
内分泌疾患
動物の体内は、自身の中で作られる様々なホルモンによって、恒常性が保たれます。
これらのホルモンのバランスが崩れることによって、太りやすい、毛が抜ける、生えてこない、飲水量が増える、だるそうなどの、『なんとな〜く』な症状が現れます。
一見、病気に見えないので、年のせいにしてしまうこともありがちですが、健診でわかることがほとんどですので、一大事な合併症が起こる前に、病気として認識し、しっかり対処することで、長寿を目指すことができます。
甲状腺機能低下症

鼻陵ハゲもこの疾患を疑います
犬に多く見られる疾患です。歳を取って、なんとなく覇気がないなぁと言うときは、加齢の影響もあるかもしれませんが、甲状腺ホルモンが少し足りないのかもしれません。
典型例では、中・高齢以降のワンちゃんで、見た目でこの病気を疑う事が出来るほど姿に現れます。すなわち、覇気がない、太りやすい、寸胴体型、尻尾や鼻梁の毛が薄くなり皮膚が黒ずんできます。血液検査で、高脂血症などの特徴的な異常が現れます。
甲状腺ホルモンは、体内の脂質代謝を司る重要なホルモンです。このホルモンが不足すると、高脂血症になりやすく、ひいては肝臓・胆管系の異常を引き起こすことがあります。
不足している甲状腺ホルモンを補充することで、治療します。
甲状腺機能亢進症
高齢のネコちゃんに多くみられます。歳のわりに、よく食べるのに痩せてくる、よく動く、鳴く、目がギラギラしているなどの症状が見られます。
一見健康そうに見えますが、甲状腺ホルモンが多く出ている影響で、心悸亢進により心筋症を引き起こしたり、高血圧による腎不全や眼底出血などを引き起こしたり、生命を脅かすこともあります。
血液検査により甲状腺ホルモンを測定します。
副腎皮質機能亢進症(クッシング症候群)
腎臓の頭側にあるピーナツくらいの臓器で、コルチゾールと呼ばれる、体内でエネルギー産生をコントロールするホルモンが作られます。このコルチゾールが作られすぎて、異常を来した病態です。
コルチゾールは、ストレス対応ホルモンのため、これが多く作られると、体はストレスに対応しようと、食欲が出たり→太る、血糖値が上がったり→糖尿病の併発、多飲多尿、自身の体からもエネルギーを作り出そうとするため、筋肉量の減少や皮膚が薄くなったりします。
致命的になるような病態ではないですが、突然の血栓症などを引き起こすことがあります。
正確に診断し、投薬により、多くなりすぎたコルチゾールを減らす治療が必要です。
副腎皮質機能低下症(アジソン病)
上記の病態と真逆の病態です。副腎で作られるグルココルチコイドやアルドステロンと呼ばれる腎臓に働きかけて、体内の電解質バランスを維持するホルモンが不足することで発症します。
症状は、食欲不振や嘔吐、下痢、多飲多尿、脱水など、経過時間もさまざまですが、急性副腎不全を起こすとショック状態となり、救急治療が必要なことがあります。
糖尿病

人同様、犬・猫も糖尿病を発症することがあります。症状は、多飲多尿が最も多く見られます。
肥満は糖尿病のリスクになります。糖尿病には、インスリンの絶対的欠乏によるものと、インスリンの反応性低下による2タイプがあります。犬では、前者が多く、猫では後者が多いとされています。糖尿病が進行した状態では、ケトアシドーシスと呼ばれる合併症を起こすことがあり、重度になると昏睡状態になります。
糖尿病もそのリスクを健康診断で、早期発見することができます。
脂質異常・高脂血症
高脂血症とは、血液が油っぽくなる状態で、コレステロール(TCho)と中性脂肪(TG)が上昇します。
中性脂肪は、食後は上昇しますので、血液検査は12時間の絶食後に行うことが勧められます。
犬の場合、基礎疾患に起因する続発性の高脂血症も多く見られるので、これらの基礎疾患を調べ、当てはまらない場合は、特発性の高脂血症を疑います。
いずれにしても高脂血症は、肝胆疾患や膵炎を惹起することがあるため、低脂肪食やサプリメント、投薬によりコントロールする必要性があります。
その他の内分泌疾患
- 中枢性尿崩症
- 原発性上皮小体機能亢進症/低下症
- 性ホルモン関連性皮膚症
- 電解質異常
骨・筋肉・神経疾患
足のびっこを引いているということで来院されるケースが多いです。
ドックランで走り回ったり、びっくりして変な動きをした後や、何も心当たりがない場合もあります。
心当たりがある場合には、安静にして、1両日様子を見ても構いません。良くなる様子が見られない場合は、受診してください。
膝蓋骨内方脱臼

膝のお皿が内側に外れる病態です。小型犬に多く見られます。
膝のお皿の外れやすさ、戻りやすさにより病期が分類され、外れっぱなしの時間が長い場合は、年齢やその他の素因を踏まえた上で、矯正手術を検討します。内方脱臼が持続した場合、大腿骨、下腿骨の骨の変形や、前十字靭帯の断裂などを起こすと、ずっとびっこを引いたままとなり、走ることができなくなります。
比較的若齢から、触診により診断が可能です。
前十字靭帯断裂
前十字靭帯は、大腿骨と下腿骨(脛骨)が前後にずれない様につなぎ止めている靭帯です。
この靭帯が、激しい運動や踏み外しなどにより、ちぎれてしまうと、足を上げっぱなし、または上げ気味に使います。
完全断裂の場合は、靭帯を再建する手術が必要となります。
-

前十字靭帯完全断裂 手術前
-

前十字靭帯完全断裂 手術後
股関節異形成
はじめは、股関節の異常なゆるみに始まり、進行すると骨関節炎を発症します。遺伝性背景があり、昔は、ゴールデン・レトリバーに多く見られましたが、今は少なくなっています。おしりを左右に振って歩く、歩幅が狭い、運動制限によりあまり走ろうとしないなどの症状があります。
小型犬にも似たような病態があります。
レントゲン検査にて、股関節の状態を評価します。
脱臼(股関節、肩関節、肘関節)
衝突事故や外れやすい素因がある場合に、股関節が脱臼することがあります。脱臼した場合、患肢は挙上したままとなり、地面に着くことができません。
鎮静または麻酔下で整復し、再脱臼しないように外固定し、安静にします。
再脱臼を繰り返す場合には、外科的処置が必要となります。
骨折

小型犬のこいぬは、はしゃぎすぎてどこかに前足を引っ掛けてしまい、骨折してしまうことがあります。その他、高所からの落下(抱き上げた高さでも)、猫では、中途半端な高さからの落下による着地不良、交通事故により骨折をすることがあります。
動物の動きを制御しにくい場合は、まわりの安全を考えた環境づくりをしてみましょう。
※写真は、2kgトイ・プードルの骨折
この子は、小さい時に右前足の骨折、今回は、抱き上げた高さからの落下で、指の骨を骨折しています。
椎間板ヘルニア
M・ダックスフンド、W・コーギー、フレンチ・ブルドックなどの犬種では、急性に進行し、後肢がまひし、引きずる様な症状が見られます。重度の場合には、排泄ができなくなります。
これらの犬種・急性進行に至る場合には、速やかに専門病院をご紹介します。
症状が軽度の場合には、足は引きずるくらいですが、使うことができます。また、背骨の痛みにより、抱き上げようとするとキャン鳴きする、段差を上らない、震えてじっとしているなどの症状が見られることがあります。この場合には、安静にした上で、ご受診ください。
変形性関節症・変形性脊椎症

背骨の骨同士が癒合しています。(8歳、G・R)
関節軟骨の破壊、消失により、骨同士が接し、痛みが生じ、また、骨同士が擦れることにより骨棘と呼ばれる骨の増殖体が形成されます。進行するにつれて、関節の可動域が現象し、触診でも関節が腫れているのがわかります。また痛みがある場合には、歩行や運動を嫌がる様になります。
10歳以上の猫では80%近くが罹患していると言われますが、猫は歳とともに寝る時間が長くなる傾向もあり、気づかれにくいと言われています。
動物も、痛みがあり運動制限があると、ストレスがたまります。より良い生活を送るためにもよく観察、早期発見してあげましょう。
関節の変性は治すことができません。体重管理や痛み止め、サプリメントなどで様子を見ます。
馬尾症候群
変性性腰仙椎狭窄症が最も多い原因で、いわゆる腰痛症です。馬尾神経は腰にあり、腰のあたりを触られるのを嫌がる、尾をあげない、キャン鳴きする、すぐ座る、後ろ足を引きずる、太ももが痩せるなどの症状が見られます。
痛みが強い場合には、いたみ止めなどにより保存療法が一般的です。
ウォブラー症候群
大型犬に見られる頚椎疾患であり、頚部痛や後肢の歩様失調があり、数週間から数ヶ月かけて、ゆっくり進行します。
乗り物酔い
車に乗ると、過度のよだれや嘔吐、唇をなめる様な悪心に伴う症状、あくび、鼻を鳴らすといった不安に関連する様々な症状を呈します。
人同様、若齢の動物の方がなりやすいとされています。
猫の場合は、乗り物酔いよりは、不安による鳴き続けや、緊張によるよだれが多く見られます。
対処としては、車に乗せて、しばらくそのままでいる(車を走らせない)、少しずつ車に乗る時間を長くしていく、到着した先にご褒美を用意しておくなどの行動療法、車に乗せる前は食事を取らせない、嘔吐してしまう場合は、吐き気止めなどを使用する、不安要素が強い場合は、前述の行動療法に加え、気持ちを落ち着かせるようなサプリメントやフェロモン剤を使用するなどがあります。
特発性てんかん/てんかん様発作
けいれん発作を起こします。てんかんにはいくつかの発作のタイプがあり、全身性のけいれん発作では、意識が消失し、四肢がビンと伸び、体がガタガタと揺れます。失禁してしまうこともあります。大抵は1〜3分くらいで、だんだんと元に戻り、5分ほどで何事もなかったかのように、回復します。
この発作の時間が、5分よりも長い場合、断続的に発作を起こす場合は、速やかに受診してください。また、3ヶ月に1回以上の発作がある場合も、発作を抑える治療が推奨されますので、受診してください。
一般的に発作を起こす年齢が若い場合は、特発性と言って原因不明で、体質的なものがあること、中高齢で発作を起こした場合は、脳内に何らかの病変があり、それが引き金となっている可能性があるため、M R I検査をお勧めします。
特発性前庭障害(老齢性前庭障害)
高齢犬が突然、目が周りぐるぐるしてしまう病気です。目が回るため、嘔吐したり、意識は正常なので、突然の出来事に犬自身が困惑して、興奮してしまうことがあります。症状は、眼振(眼球が自動的に左右に揺れたり、回転したりする)や、捻転斜頸(頭が病変側へ傾く)、旋回運動(一方方向へぐるぐる歩き回る)、あまりひどいと姿勢を保てなくて常に横転してしまいます。
この疾患の場合は、数週間くらいかけて徐々に治ってきますが、高齢のため脳炎や、中耳炎/内耳炎からの波及、脳幹や前庭の腫瘍などの鑑別診断が必要です。
顔面神経麻痺・三叉神経麻痺
顔面に分布する神経が麻痺することで、くちびるやまぶたがうまく動かせなくなり、よだれが出たり、瞬きができなかったりします。特発性、甲状腺機能低下症や重症筋無力症に続発して起こることがあります。
先天的疾患
水頭症、脊髄空洞症、キアリ様奇形
チワワやキャバリアなどある特定の小型犬種で、先天的な神経学的な異常が見られることがあります。これらの先天性疾患の場合、特に両側の目がそれぞれ外方へ向いていて、目線が合わないように見えたり、突然鳴きだしたり、物覚えが悪かったりします。また、脊髄系にかかる疾患の場合は、痛みによる症状が見られることもあります。確定診断には、C T・M R I検査が必要です。
その他の疾患
貧血
貧血はさまざまな原因で起こります。血の気がうすくなるため、元気さがなくなる、ふだんピンク色の粘膜の色がうすくなるなどの異常が見られます。
急性の貧血には、出血、溶血性貧血などがあり、慢性の貧血は、栄養不良や腎不全により貧血が引き起こされることがあります。
免疫介在性溶血性貧血・免疫介在性血小板減少症
どちらも自分の免疫が赤血球や血小板を破壊することで症状が出ます。
免疫介在性溶血性貧血では、黄疸、尿の色がオレンジ色、貧血による元気食欲低下、呼吸促迫などが見られます。
免疫介在性血小板減少症は、出血が止まらない、鼻血が出る、皮膚に紫斑と呼ばれるあざができるなどの症状があります。出血が止まらない場合、貧血を起こします。
いずれも早急に、免疫抑制剤による治療が必要です。
アナフィラキシー

急性のアレルギー反応で、ショック状態に陥ることもあります。
ワクチンの接種直後や、ハチなどの虫刺されにより、顔面が腫れたり、蕁麻疹が出る、さらに重篤な場合、急性の嘔吐や下痢、急性の虚脱などが見られることもあります。原因がわからない場合もあります。早急な治療が必要です。
熱中症
夏場に気をつけたい疾患です。
特に、短頭種では呼吸による熱の蒸散が苦手なため、熱中症になりやすいので、気をつけましょう。
猫も昨今の夏の暑さで熱中症になることがあります。適切な室内温度を保ちましょう。
うさぎは、暑さに弱いです。室温は22〜24℃を保つようにしてあげると良いでしょう。
熱中症の疑いがある場合には、首や足の付け根など太い血管があるところを積極的に冷やし、病院へ行きましょう。
認知機能障害

犬や猫もボケます。
特に10歳を超えると性格に変化が見られることも多くあります。15歳以上になると、いわゆる人の認知症と同様の症状が見られることがあります。
例えば、排泄を間違えたり、徘徊したり、狭いところに入り込んで出られなくなり、困って泣き続けたりすることがあります。
日中の寝る時間が増え、夜鳴きするようになるとだいぶ進行した状態です。
特に夜鳴きはご家族が疲れてしまうことも少なくありません。できるだけ進行しないように、サプリメントや漢方、日常生活の改善などにより予防してあげることが肝要です。
分離不安・攻撃行動
人との共同生活を送るうえで、その動物の攻撃行動は恐怖となり、一緒に生活できなくなることさえあります。
動物も様々な性格があります。
なぜ吠えるのか?どうして噛みついてくるのか?
どうしても制御ができない場合は、まずご相談ください。
食糞
子犬の頃には、お腹が空いて、たまたま口にした便が食べれることに気づくと、便を毎度食べてしまうことがあり、食糞と呼ばれます。
食糞で、下痢をしたり具合が悪くなったりすることは少ないですが、口腔内衛生環境や見てて気持ちの良いものではないので、防止策を取りましょう。
単純ですが、排泄したらすぐ片付ける(怒ってはだめ)、お腹を満たす(子犬は食べすぎても太ることはありません)、上手に排泄できたら、その場から離れさせてからほめるなどです。
観葉植物の中毒

観葉植物は様々ですが、垂れ下がっている葉っぱなど、動物はいじりたくなるみたいです。
特に子犬・子猫はなんでもやらかします。
葉、根などに有毒物質を持っていることもありますので、できる限りイタズラされないように、置かないようにすると良いでしょう。
※厳重注意な植物
ゆり(切花)、ネギとネギの仲間(タマネギ、ニンニク、ニラ、ワケギ、アサツキ、小ねぎ、芽ねぎ)、スズランなど
腫瘍
動物にも腫瘍は、人同様さまざまな部位に発生します。
細胞の変異により、腫瘍細胞が生まれ、どんどん増殖を続け、その臓器において障害を呈する大きさまで育って、はじめて症状が出ます。
皮膚腫瘍などは、外観からわかりますが、内臓にできた腫瘍は、外側から触れるぐらい巨大になるまで症状を示さないこともあります。
定期的な健康診断で、できる限り早期に発見し、摘出、対処してあげると良いでしょう。
生殖器に関わる疾患(避妊・去勢手術で予防できる疾患)
これらの病気は、避妊去勢手術で、生殖腺を摘出することにより予防できます。
子宮蓄膿症

子宮に細菌感染が起こり、膿(うみ)がたまり炎症が起こります。この膿は大腸菌などの細菌や炎症反応によるもので、腎不全や菌血症、さらに進行すれば腹膜炎や敗血症となり死に至ることもあります。発情周期のうちいわゆる生理の後、2ヶ月間にわたり黄体ホルモンが分泌され、子宮内に感染が起こりやすくなるため、この時期に発生することが多いです。
症状は、食欲不振、多飲多尿、陰部からオリモノの排出、嘔吐などが見られます。
避妊手術をしていない中高齢の犬に多く見られますが、動物は閉経をしないため、15、6歳の超高齢の動物にも見られることがあります。
前立腺肥大・前立腺嚢胞
去勢していない中高齢のオス犬に見られることがあります。前立腺は通常、骨盤内にありますが、前立腺が大きくなると、同じ骨盤内を通る大腸を圧迫し、便秘や便が細くなったりします。
尿道を圧迫すると、血尿や頻尿、尿失禁などが見られます。
去勢手術により治癒します。手術ができない場合は、お薬により治療することもあります。
前立腺炎・前立腺膿瘍・前立腺腫瘍
急性の前立腺炎や膿瘍では、強い炎症反応のため、発熱や元気食欲低下、疼痛などが見られます。
積極的かつ速やかな治療が必要です。
去勢雄の前立腺が腫大した場合は、前立腺癌を疑います。
肛門周囲腺腫
肛門の周りには、肛門周囲腺という分泌腺があり、男性ホルモンにより良性の腫瘍を生じ、これを肛門周囲腺腫と言います。比較的成長が早く、小さくても潰瘍化し出血することがあり、常にかさぶたができたような状態になることがあります。
未去勢オスの犬に多く見られるため、治療としては、局所の摘出と去勢手術を行います。
会陰ヘルニア

去勢していないオス犬に見られます。よく吠えるなど、腹圧がかかりやすい子は要注意です。
肛門の横の筋肉がうすくなり、裂け目ができてしまうと、この隙間から、直腸や前立腺、膀胱が逸脱します。
外観は、肛門の横に膨らみができ、ひどいと大きく膨らみます。そこに尿や便が貯まってしまい、踏ん張っても少量のうんちしか出ない、排尿できないなどの症状が出ます。
薄くなってしまった筋肉を戻すことはできないため、状態に応じて、去勢手術、腸が出てこないように固定する手術、周りの筋肉によりこの骨盤隔壁を再建する手術など複数の手術を組み合わせて治療を行います。
精巣腫瘍
精巣は3つのタイプの腫瘍の発生が見られます。
特に、潜在精巣と言って、腹腔内や鼠径部に停留した精巣では、その腫瘍化率が高いことが知られています。
中でも、セルトリ細胞腫と呼ばれる精巣腫瘍は、腫瘍そのものが不整形に腫大化し、腫瘍細胞が女性ホルモンを分泌するため、乳頭の腫大や乳腺の発達、貧血などの腫瘍に随伴した症状が見られることがあります。転移をすることもあります。
うさぎの子宮疾患
避妊していない5歳以上の子宮疾患の発生率は、実に80%以上ということが示唆されています。
これには、子宮内膜過形成、子宮腺癌、子宮腺腫、子宮筋腫などが見られます。うさぎは、交尾排卵動物であり、妊娠しない場合には、女性ホルモン(エストロジェン)優位な状態が続き、これが子宮や乳腺を活動家した状態を続かせることで、こういった疾患の発生が高いことが示唆されます。
症状としては、臓器の腫大による食欲不振や、血尿などが見られます。
うさぎさんの場合は、早期(2歳以下)の避妊手術を推奨します。
乳腺腫瘍

初発情前に手術を行うことで、100%発症を防ぐことができます。
動物の乳腺腫瘍は、早期に避妊手術を行わなかった中高齢に多く認められます。
犬の場合は、偽妊娠と呼ばれる期間があり、この期間中さも妊娠したかのように乳腺が張り、乳汁が分泌されます。この乳腺への刺激が乳腺腫瘍の発生に関わっています。犬の乳腺腫瘍は、良性と悪性が半々と言われています。猫の乳腺腫瘍は、9割が悪性です。悪性の場合は早晩転移を起こし死に至ります。






